Krvácení dásní
Proč to není normální a kdy zbystřit?
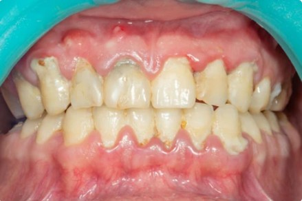
Krvácení dásní není banalita
Krvácení dásní si mnoho lidí vysvětluje jednoduše:
"Asi jsem si čistila zuby moc silně."
"To se občas stává."
"Nic mě nebolí, tak to neřeším."
Ve skutečnosti je ale krvácení dásní jedním z prvních signálů zánětu v dutině ústní.
A právě v této fázi je ještě možné situaci velmi dobře ovlivnit.

Proč dásně krvácí
Nejčastější příčinou krvácení dásní je zánět dásní (gingivitida), který vzniká v důsledku:
-
nahromaděného zubního plaku,
-
bakterií v mezizubních prostorech,
-
zubního kamene pod linií dásně,
-
nebo dlouhodobě nevhodné techniky čištění.
Zánět je reakcí těla na bakterie.
Dásně jsou překrvené, citlivé a snadno začnou krvácet – nejčastěji při čištění zubů nebo používání mezizubních pomůcek.

Krvácení dásní ≠ špatné čištění
Častý omyl je přestat si problematická místa čistit, aby "nekrvácela".
To ale vede k opaku – zánět se může zhoršovat.
Ve své praxi se setkávám s lidmi, kteří se o zuby starají svědomitě, ale:
-
mezizubní prostory čistí nevhodnou velikostí kartáčku,
-
používají příliš velký tlak,
-
nebo nemají správně nastavenou techniku.
Krvácení tedy často není známkou zanedbání, ale signálem, že je potřeba péči upravit a zpřesnit.
Co se stane, když se krvácení dásní neřeší
Pokud zánět přetrvává dlouhodobě, může přejít do hlubších struktur a vést k:
-
ústupu dásní,
-
vzniku parodontózy,
-
viklavosti zubů,
-
a postupně i k jejich ztrátě.
Zánět v dutině ústní navíc představuje trvalou zátěž pro celý organismus, jak jsme si vysvětlili v předchozím článku.
Dobrou zprávou ale je, že včasná dentální hygiena dokáže zánět dásní velmi často zcela zklidnit.

Jak se krvácení dásní řeší
Řešení vždy vychází z konkrétní situace, ale obvykle zahrnuje:
-
profesionální odstranění zubního kamene a plaku,
-
ošetření problematických míst,
-
individuální doporučení domácí péče,
-
kontrolu techniky čištění a mezizubních pomůcek.
Cílem není jen "aby dásně nekrvácely", ale aby byly dlouhodobě zdravé, pevné a bez zánětu.
Kdy má smysl se objednat
Objednání dentální hygieny je na místě, pokud:
-
dásně krvácí opakovaně,
-
objevuje se citlivost nebo nepříjemný pocit,
-
máte pocit, že péče doma nefunguje tak, jak by měla,
-
nebo chcete problém řešit dřív, než se zhorší.
Pokud vás krvácení dásní trápí, objednejte se na dentální hygienu a problém vyřešíme včas.